Miniscrew-Assisted Rapid Palatal Expansion

What Is MARPE?

MARPE is a maxillary expander that is supported by tiny mini screws placed in the upper palate. Unlike traditional expanders that push on the teeth, MARPE’s unique placement in the roof of the mouth creates skeletal changes. This not only increases upper arch width, but also gives more nasal breathing volume and development in the midface. This is why MARPE is often the best non-surgical alternative for adults who previously had no other options. 

This Allows 

Airway & Facial Benefits

Maxillary skeletal expansion is not just cosmetic work.  It is functional and foundational.

“My expansion journey has been about so much more than widening my smile. It has opened space for better breathing, improved alignment, and a greater sense of overall well-being. Each step has felt like creating room – not just in my airway and dental structure, but in my life – for growth, balance, and a healthier future.

How MARPE Works (Step-By-Step)

Evaluation & Airway-Focused Diagnosis

We begin with a full airway, skeletal, and bite assessment using CBCT imaging, digital scans, and functional evaluation.

Start With a MARPE Assessment

Custom Virtual Planning

Every miniscrew site is pre-planned in optimal bone. The appliance is digitally designed and 3D-printed for your unique anatomy.

MARPE Placement

The appliance is placed using custom guides.

  • 4–8 miniscrews
  • Simple dental numbing 
  • Minimal discomfort, usually managed with OTC medication for 1–4 days

Sutural Opening

Expansion and breathing changes begin as soon as 1-3 weeks, even in older teens and adults. 

Controlled Expansion

Dr. Green guides slow, controlled activation to widen the maxilla without creating a large gap.

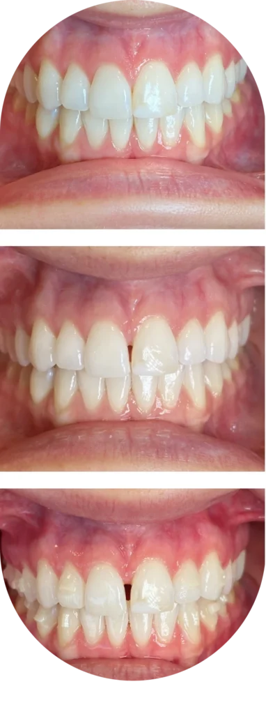
Simultaneous Invisalign

Avoid a visible gap in the front teeth and optimize alignment for perfect smile at the same time! 

Why Choose Custom 3D-Printed MARPE?

Custom MARPE at AFD uses a fully digital, precision-engineered workflow:

This delivers:

Who is MARPE for?

If you’ve been told surgery is your only option, you may still be a candidate for Custom 3D MARPE.
Teens and Adults who have:

Meet Dr. Joanna Green, DDS

Dr. Joanna Green has dedicated over a decade of her clinical practice to optimize growth, breathing, and lifelong wellness. As a general dentist and founder of the Center for Airway and Facial Development (AFD), she provides focused care for both children and adults with airway, sleep, and facial development concerns.

Having treated patients from infancy through adulthood, Dr. Green understands how poor breathing and suboptimal facial growth in childhood can impact health for decades. While early intervention is ideal, many adults were never properly evaluated—or were told their concerns were “normal”—and later experienced orthodontic treatment or extractions that failed to support healthy airway development.

Dr. Green believes in collaborative, patient-centered care and works closely with families and a multidisciplinary healthcare team to create individualized treatment plans. Her mission is to help patients of all ages breathe better, sleep better, and achieve lasting wellness.

“A provider who listens, explains and guides- a rarity in the medical space”  

Professional Credentials

Frequently Asked Questions

What does MARPE feel like?
Most patients describe MARPE as a feeling of pressure or tightness rather than pain. This sensation is most noticeable during the first couple of weeks and is typically mild and manageable with over the counter medication. As your body adapts, the feeling gradually fades.
Yes. MARPE was specifically developed for adults. With modern 3D imaging and customized planning, expansion is predictable and effective even after growth is complete. Age alone does not disqualify you, and adults in their 40s, 50s, and beyond are commonly treated successfully.
For many patients, yes. MARPE can achieve meaningful expansion and airway improvement without surgery. During your consultation, Dr. Green will carefully evaluate your anatomy and goals to determine whether MARPE is an appropriate alternative to surgical treatment.
The MARPE appliance sits inside the mouth and is not easily visible when speaking or smiling. Most patients find that others do not notice it at all during everyday interactions.
Some patients notice a brief adjustment period with speech during the first few days. This typically resolves quickly as your tongue adapts, and most patients return to normal speech within a short time.
This is a common concern. Dr. Green uses a no-gap protocol to carefully control expansion. When appropriate, Invisalign is incorporated during treatment to help minimize or avoid visible spacing between the front teeth.
You’ll want to avoid very hard, sticky, or chewy foods to protect the appliance. Most patients adapt quickly by choosing softer foods and cutting food into smaller pieces—while still enjoying a normal, satisfying diet.
The active expansion phase is customized for each patient and may take as little as a few months. The appliance then remains in place to allow the bone to fully heal and stabilize, typically for less than one year total.
Many patients experience improved nasal airflow and increased airway space after expansion. These changes may help reduce symptoms such as snoring, mouth breathing, and nighttime breathing difficulty.
Some dental insurance plans offer orthodontic benefits that may apply to MARPE treatment. Our treatment coordinator will review your coverage with you and clearly explain all insurance and financing options so there are no surprises.

Ready to Breathe, Sleep, and Live Better?

Whether you’re an adult seeking real airway improvement or a parent searching for the right path forward for your child, Custom 3D MARPE offers a safe, predictable, and modern solution.